Pirmā pirksta Valgus deformācija visbiežāk skar sievietes nobriedušā vecumā, taču tā skar arī vīriešus. Deformēta īkšķa pamatne neizskatās estētiski patīkama. Šajā gadījumā cilvēks izjūt fizisku diskomfortu, bet progresējošā stadijā - sāpes. Lielā pirksta novirze ir pēdas nevienmērīgas ķermeņa slodzes rezultāts. Šādas izmaiņas negatīvi ietekmē pēdas un citus pirkstus.
Izliekuma cēloņi

Hallux valgus nenotiek bez redzama iemesla. Šī patoloģija parādās un attīstās dažādu iemeslu ietekmē. Hallux valgus visbiežāk skar cilvēkus, kuriem ir ģenētiska nosliece uz šo slimību. Ārsti atzīmē šādus 1 pirksta deformācijas cēloņus:
- Pārmērīgs ķermeņa svars.
- Endokrīnās slimības.
- Osteoporoze.
- Plakanās pēdas.
- Cukura diabēts.
- Psoriāze.
- Artrīts.
- Hormonālās izmaiņas grūtniecības un vecuma laikā.
- Valkājot ciešus apavus.
- Profesijas specifika, liekot cilvēkam katru dienu izturēt palielinātu fizisko slodzi uz kājām.
Posmi un šķirnes
Ārsti ņem vērā 3 slimības progresēšanas posmus:
- Smalka valgus novirze. Parādās ādas apsārtums, kā arī nelieli nobrāzumi. Diskomforts ejot.
- Uz īkšķa jau ir skaidri redzams izaugums. Tiek novērots pietūkums un sāpes.
- Šī slimības forma tiek uzskatīta par progresējošu. Cilvēku nomoka pastāvīgas nepanesamas kājas lielā pirksta un visas pēdas sāpes un keratinizētas ādas parādīšanās. Sāpes nepāriet pat miega laikā.
Nepatīkamas hallux valgus attīstību ietekmē daudzi faktori. Eksperti ir identificējuši šādus pirkstu deformācijas veidus kā atsevišķu kategoriju:
- Šķērsošanas deformācija. Izliekums notiek dažādos virzienos. Pirksti sakrusto viens otru.
- Locītavu izliekums tādā mērā, ka tie vienmēr atrodas saliektā stāvoklī. Pirmajā patoloģijas attīstības stadijā pirkstus var piespiest iztaisnot ar roku palīdzību. Ja ārstēšana netiek uzsākta šajā laikā, pirksti kļūs tik stīvi, ka tos vairs nevarēs iztaisnot ar rokām. Tagad bez operācijas nevar iztikt.
- Teilora deformācija. Patoloģija, kas ietekmē mazos pirkstus. Raksturo izauguma parādīšanās uz kauliem.
- Falangu izliekums, kas atgādina āķus.

Eksperti ietver balerīnas, kurām ir hallux valgus attīstības risks. Dejošana uz kāju pirkstiem rada lielāku slodzi uz pirkstiem, kas izraisa to izliekumu. Nepareiza gaita var izraisīt arī nevēlamus rezultātus. Provocējošus faktorus pastiprina pat vecums.
Diagnostikas metodes
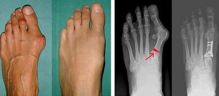
Ja vizuālā pārbaude un rentgens nedod nekādu rezultātu, tad pacients tiek nosūtīts uz plantogrāfiju, lai noteiktu iespējamo plakano pēdu. Šī metode ietver pēdu nospiedumu noņemšanu, uz kuru pamata pacientam izgatavo apavus vai zolītes ar ortopēdiskām īpašībām. Pēc tam pacientam tiek nozīmēta podometrija. Šī metode izmanto datora analīzi, lai noteiktu cilvēka svara spiedienu uz kājām. Uzlabotās diagnostikas rezultāti ir pamats pirmā un otrā pirksta izliekuma ārstēšanas metodes izvēlei.
Rentgena izmeklēšanas trūkums ir nepieciešamība apstarot pacienta kājas, kas daudziem pacientiem nepatīk. Viņi domā, ka šī metode ir pārāk kaitīga. Šajā sakarā efektīvu hallux valgus ārstēšanu nevar uzsākt bez plantogrāfijas rezultātiem.

Šī ir labākā informatīvā diagnostikas metode. Ar tās palīdzību ārsts nosaka ne tikai plakano pēdu klātbūtni, bet arī pēdu velvju stāvokli. Datorizmeklēšana ir visefektīvākais plakano pēdu noteikšanas veids.
Pirmajā lielā pirksta un mazā pirksta valgus noteikšanas posmā ārsts veic vizuālu pārbaudi. Tādā veidā tas nosaka patoloģijas attīstības stadiju. Lai noteiktu detalizētas izmaiņas locītavās, tiek noteikti rentgena stari un plantogrāfija.
Narkotiku terapija
Labāk ir sākt saudzīgu pēdas, kā arī lielā pirksta apstrādi, pirms iestājas pēdējais patoloģijas attīstības posms. Eksperti zina, kā ārstēt šo patoloģiju, bet viņi nezina, kā izārstēt progresējošu slimības formu bez ķirurģiskas iejaukšanās. Pirmkārt, ārsti nosaka pirkstu izliekuma cēloni, kā arī sarežģījošu faktoru klātbūtni. Kā zināms, zāļu terapijas uzdevums ietver simptomātisku terapiju. Tas nozīmē, ka tiek novērstas sāpes, iekaisums un pietūkums.
Visbiežāk pacientiem tiek nozīmēti nesteroīdie pretiekaisuma līdzekļi. Papildus galvenajai funkcijai tie samazina sāpes un drudzi. Ja rodas komplikācijas, bieži tiek nozīmēti hormonālie kortikosteroīdi. Ja pirkstu deformāciju izraisījušas iekšējo orgānu slimības, tad locītavas var koriģēt pēc pamatpatoloģijas izārstēšanas. Šajā gadījumā problēmas risināšanā tiek iesaistīti endokrinologi kopā ar citiem augsti specializētiem speciālistiem. Daudzi cilvēki cenšas izārstēties, izmantojot tautas līdzekļus, aizmirstot, ka tas ir iespējams tikai patoloģijas attīstības sākumposmā.
Ja patoloģija tiek pamanīta sākotnējā stadijā, tad greizais īkšķis tiek iztaisnots ar aparātu palīdzību - plastmasas vai silikona paliktņiem ar ortopēdiskām īpašībām. Ārstēšanas laikā jāvalkā mīksti, plaši apavi. Greizo pirkstu iztaisnošanai tiek izmantotas ortopēdiskās zolītes, arkas balsti un citi korektori. Deformēti pirksti tiek fiksēti ar īpašām šinām, gredzeniem, vāciņiem, ķemmēm. Ar šādu ierīču palīdzību pirksti tiek nostiprināti pareizā stāvoklī. Pateicoties ortopēdiskajiem fiksatoriem, pirkstu tālākas deformācijas attīstība apstājas.
Ir divi veidi, kā ārstēt hallux valgus. Pirmā ir nesāpīga deformācijas korekcija, kas neprasa ķirurģisku iejaukšanos un rehabilitāciju, otrā ir ārstēšana ar operācijas palīdzību.
Ķirurģiskās ārstēšanas metodes

Pilnīgi izārstēt hallux valgus ir iespējams tikai ar ķirurga skalpeļa palīdzību. Dažreiz pietiek tikai ar vienu operāciju, un pacients par problēmu aizmirst uz visiem laikiem. Ārsts veic ķirurģisku iejaukšanos, ņemot vērā hallux valgus deformācijas veidu. Visizplatītākie operāciju veidi ir:
- Eksostektomija. Tiek noņemta tikai noteikta metatarsāla kaula daļa.
- Rezekcijas artroplastika. Tiek noņemta pleznas kaula gala daļa.
- Osteotomija. To lieto, lai noņemtu pleznas kaulu, kā arī nelielu falangas elementu.
- Rezekcija. Operācijas mērķis ir noņemt skartos mīkstos audus un pēc tam to vietā pārstādīt veselus audus.
- Artrodēze. Nodrošina locītavu piespiedu nekustīgumu.
- Distālā osteotomija. Operācija ietver leņķa samazināšanu starp locītavām.
- Lielā pirksta iekaisušās bursas noņemšana.
- Implantu uzstādīšana.
Rehabilitācijas periods pēc operācijas var ilgt līdz septiņām nedēļām. Šo dažu nedēļu laikā parasti tiek veikti īpaši profilaktiski pasākumi. Pirmkārt, tie ir ārstnieciskie vingrinājumi, kas veicina:
- veselības stāvokļa uzlabošana;
- sāpju mazināšana ejot;
- palielināt kāju muskuļu tonusu;
- deformētās locītavas uzstādīšana un fiksācija tā dabiskajā stāvoklī.
Rehabilitācijas perioda ilgums visbiežāk ir atkarīgs no tā, cik sarežģīta bija operācija. Lai paātrinātu atveseļošanos, nākamajā dienā jāsāk kustināt pirkstus. Pēc nedēļas pacients jau var piecelties kājās un, ievērojot piesardzības pasākumus, lēnām kustēties. Galvenais ir izvairīties no ilgstoša stresa.
Pēc operācijas būs nepieciešami kvalitatīvi mīksti un ietilpīgi apavi. To iegādājas pēc ārsta ieteikuma. Starp citu, ja jūs sākat nodarboties ar ārstniecisko vingrošanu pašā hallux valgus attīstības sākumā, jūs varat iztikt ne tikai bez ķirurģiskas iejaukšanās, bet arī netērējot naudu dažādām ierīcēm, ziedēm un medikamentiem.
Speciālisti saka, ka ķirurģiskās ārstēšanas iespēja dod praktiski simtprocentīgi pozitīvus rezultātus. Šī maiga ārstēšanas metode neprasa anestēziju un neizraisa stresu vai psiholoģisku diskomfortu. Tomēr nesāpīgas ārstēšanas metodes nespēj glābt cilvēku no pēdējās slimības stadijas.
Preventīvie pasākumi

Profilaktiski pasākumi ir pavisam vienkārši – valkājot ērtus apavus ar platu purngalu, kura iekšpuse nerada spiedienu uz pirkstiem. Jo īpaši locītavas un pēdas kopumā spēj izturēt cilvēka augšanas laikā uzkrāto svaru, nenodarot kaitējumu. Tāpēc ir ļoti svarīgi uzraudzīt ķermeņa svaru, lai izvairītos no aptaukošanās.
Viens no efektīviem profilaktiskajiem vingrinājumiem ir šāds: cilvēks, sēžot uz krēsla ar kājām uz grīdas, tās kustina, izmantojot pirkstus.
Nākamais vingrinājums ietver staigāšanu basām kājām pa grīdu, pārmaiņus uz pirkstiem un papēžiem.
Vienkārša vingrošana tiek apgūta ātri, kas rada sarežģītākus fiziskos vingrinājumus. Pēc tam varat veikt darbības, piemēram, pacelt zīmuli vai jebkuru citu priekšmetu no grīdas.
Labāk ir novērst īkšķa deformāciju, nevis pēc tam stāvēt rindās ārstniecības iestādēs, lai saņemtu ārsta ieteikumus efektīvas ārstēšanas izvēlei.






















